【実況】精子観察キット届いたから使う


種無しだったらどうしようwww
3:以下、?ちゃんねるからVIPがお送りします:
2021/06/27(日) 19:42:27.533ID:bmRDW0qd0.net
ほぉ
ほぉ
4:以下、?ちゃんねるからVIPがお送りします:
2021/06/27(日) 19:42:31.171ID:6yncBUYt0.net
楽しみだな
楽しみだな
11:以下、?ちゃんねるからVIPがお送りします:
2021/06/27(日) 19:44:02.903ID:aEyX8bPe0.net
はやくうp
はやくうp
12:以下、?ちゃんねるからVIPがお送りします:
2021/06/27(日) 19:44:36.253ID:n/584FU0a.net
パンツ脱いだ
パンツ脱いだ
18:以下、?ちゃんねるからVIPがお送りします:
2021/06/27(日) 19:47:03.251ID:0JjPncET0.net
元気なやつ頼むぞ
23:以下、?ちゃんねるからVIPがお送りします:
2021/06/27(日) 19:48:27.696ID:NtniYo1K0.net
拡大して見れるのかと思ったら違うのかよ
拡大して見れるのかと思ったら違うのかよ
27:以下、?ちゃんねるからVIPがお送りします:
2021/06/27(日) 19:49:14.501ID:Zo8x7sN50.net
>>23
拡大して見れるよ
拡大鏡もついてくる
>>23
拡大して見れるよ
拡大鏡もついてくる
24:以下、?ちゃんねるからVIPがお送りします:
2021/06/27(日) 19:48:53.894ID:Zo8x7sN50.net
あとは精子をここに落として見るだけだ
怖えwww

あとは精子をここに落として見るだけだ
怖えwww

25:以下、?ちゃんねるからVIPがお送りします:
2021/06/27(日) 19:48:59.043ID:n/584FU0a.net
おかず選んでんじゃねーよハゲ
おかず選んでんじゃねーよハゲ
30:以下、?ちゃんねるからVIPがお送りします:
2021/06/27(日) 19:50:14.958ID:NE0cgGkG0.net
支援

支援

33:以下、?ちゃんねるからVIPがお送りします:
2021/06/27(日) 19:50:46.318ID:LKi7LYiS.net
どんなものか気になるな
どんなものか気になるな
34:以下、?ちゃんねるからVIPがお送りします:
2021/06/27(日) 19:50:51.617ID:Zo8x7sN50.net
よし、10分経った
見るぞ…
よし、10分経った
見るぞ…
41:以下、?ちゃんねるからVIPがお送りします:
2021/06/27(日) 19:55:10.097ID:s+FQsvB3H.net
種付けする相手いないくせに
種付けする相手いないくせに
42:以下、?ちゃんねるからVIPがお送りします:
2021/06/27(日) 19:56:09.771ID:q+V06D6wa.net
( ノ・ω・)ノバンバン
( ノ・ω・)ノバンバン
43:以下、?ちゃんねるからVIPがお送りします:
2021/06/27(日) 19:57:27.398ID:Zo8x7sN50.net
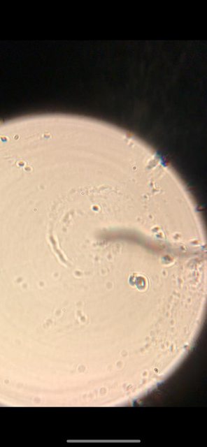
一般的な射精量は1.5mlらしい
※精子注意
https://livedoor.blogimg.jp/itaishinja/imgs/7/b/7b79ba0f.jpg
一般的な射精量は1.5mlらしい
※精子注意
https://livedoor.blogimg.jp/itaishinja/imgs/7/b/7b79ba0f.jpg
50:以下、?ちゃんねるからVIPがお送りします:
2021/06/27(日) 19:58:18.067ID:q+V06D6wa.net
>>43
2倍近くあんじゃねーかwwwww
>>43
2倍近くあんじゃねーかwwwww
304:以下、?ちゃんねるからVIPがお送りします:
2021/06/27(日) 22:56:20.912ID:j/fiRb1mp.net
>>43
エッッッッ
>>43
エッッッッ
66:以下、?ちゃんねるからVIPがお送りします:
2021/06/27(日) 20:02:32.654ID:viTVyJ240.net
>>43
こんな色なの?
俺のなんかもっとドロドロしてて黄色っぽい
>>43
こんな色なの?
俺のなんかもっとドロドロしてて黄色っぽい
67:以下、?ちゃんねるからVIPがお送りします:
2021/06/27(日) 20:02:51.557ID:AaYuDsK80.net
>>66
あっ・・・
>>66
あっ・・・
68:以下、?ちゃんねるからVIPがお送りします:
2021/06/27(日) 20:03:22.778ID:q+V06D6wa.net
>>66
頻繁に抜かないからだろ
>>66
頻繁に抜かないからだろ
77:以下、?ちゃんねるからVIPがお送りします:
2021/06/27(日) 20:05:16.656ID:viTVyJ240.net
>>68
週一ぐらいだな
>>68
週一ぐらいだな
88:以下、?ちゃんねるからVIPがお送りします:
2021/06/27(日) 20:06:38.579ID:q+V06D6wa.net
>>77
頑張って2日に1回位の頻度で抜くとちゃんと白いのが出るぞ
>>77
頑張って2日に1回位の頻度で抜くとちゃんと白いのが出るぞ
49:以下、?ちゃんねるからVIPがお送りします:
2021/06/27(日) 19:58:17.206ID:Nt8evPIb0.net
くっさぁ♡
くっさぁ♡
52:以下、?ちゃんねるからVIPがお送りします:
2021/06/27(日) 19:59:56.163ID:OCj807oZa.net
薄っす♡
ざぁこざこ精子♡
薄っす♡
ざぁこざこ精子♡
47:以下、?ちゃんねるからVIPがお送りします:
2021/06/27(日) 19:58:12.113ID:vBAkSVor0.net
うっすw
こりゃ無精子ですわ
うっすw
こりゃ無精子ですわ
54:以下、?ちゃんねるからVIPがお送りします:
2021/06/27(日) 20:00:42.865ID:wrPtM9Ec0.net
なんか水っぽいな
なんか水っぽいな
58:以下、?ちゃんねるからVIPがお送りします:
2021/06/27(日) 20:01:24.408ID:Zo8x7sN50.net
>>47
>>54
射精してから10分放置して液体化させなあかんからな
>>47
>>54
射精してから10分放置して液体化させなあかんからな
65:以下、?ちゃんねるからVIPがお送りします:
2021/06/27(日) 20:02:14.757ID:BRtnjikv0.net
>>58
何日くらいためた?
>>58
何日くらいためた?
72:以下、?ちゃんねるからVIPがお送りします:
2021/06/27(日) 20:04:32.424ID:Zo8x7sN50.net
>>65
昨日の夜シコったから1日も貯めてないな
>>65
昨日の夜シコったから1日も貯めてないな
55:以下、?ちゃんねるからVIPがお送りします:
2021/06/27(日) 20:00:52.869ID:Zo8x7sN50.net
初めまして息子たちよwww

初めまして息子たちよwww

56:以下、?ちゃんねるからVIPがお送りします:
2021/06/27(日) 20:01:20.193ID:MvOz67Vv0.net
gifでくれ
gifでくれ
73:以下、?ちゃんねるからVIPがお送りします:
2021/06/27(日) 20:04:40.879ID:q+V06D6wa.net
>>69
有能
>>69
有能
74:以下、?ちゃんねるからVIPがお送りします:
2021/06/27(日) 20:04:55.922ID:wrPtM9Ec0.net
>>69
ちょっと感動するな
>>69
ちょっと感動するな
75:以下、?ちゃんねるからVIPがお送りします:
2021/06/27(日) 20:05:08.383ID:raiKSN1w0.net
>>69
すごい
なんかかわいい
>>69
すごい
なんかかわいい
76:以下、?ちゃんねるからVIPがお送りします:
2021/06/27(日) 20:05:12.516ID:6u3tssh10.net
>>69
すげえこんなの初めて見た
>>69
すげえこんなの初めて見た
80:以下、?ちゃんねるからVIPがお送りします:
2021/06/27(日) 20:05:21.047ID:x1zUzF1Qr.net
>>69
おお~
>>69
おお~
133:以下、?ちゃんねるからVIPがお送りします:
2021/06/27(日) 20:14:40.163ID:mqh61lE7d.net
>>69
魚の卵入れてみて
>>69
魚の卵入れてみて
218:以下、?ちゃんねるからVIPがお送りします:
2021/06/27(日) 20:38:43.939ID:oEjouU1q0.net
>>69
出来るやつだと思ってたよ
>>69
出来るやつだと思ってたよ
303:以下、?ちゃんねるからVIPがお送りします:
2021/06/27(日) 22:54:05.503ID:lUxxmxdm0.net
>>69
ほんと神すげえなこれ
>>69
ほんと神すげえなこれ
311:以下、?ちゃんねるからVIPがお送りします:
2021/06/27(日) 23:07:01.598ID:GQKphMSf0.net
>>69
ほんとに泳いでるwww
>>69
ほんとに泳いでるwww
78:以下、?ちゃんねるからVIPがお送りします:
2021/06/27(日) 20:05:17.348ID:SWoAf9Dh0.net
もっと大きく見えると思ってた
もっと大きく見えると思ってた
87:以下、?ちゃんねるからVIPがお送りします:
2021/06/27(日) 20:06:30.613ID:Zo8x7sN50.net
少ないんかな?
まぁ取り敢えず元気な息子たちが確認できたしこれで良しwww
少ないんかな?
まぁ取り敢えず元気な息子たちが確認できたしこれで良しwww
96:以下、?ちゃんねるからVIPがお送りします:
2021/06/27(日) 20:07:48.149ID:SWoAf9Dh0.net
これが生命の神秘か
これが生命の神秘か
98:以下、?ちゃんねるからVIPがお送りします:
2021/06/27(日) 20:08:03.201ID:Z27mcG4u0.net
こんな可愛い息子をティッシュに吐き出して捨ててたんだよな
こんな可愛い息子をティッシュに吐き出して捨ててたんだよな
101:以下、?ちゃんねるからVIPがお送りします:
2021/06/27(日) 20:09:19.516ID:Zo8x7sN50.net
ぶっちゃけめちゃくちゃ怖かったわwww
無精子だったらどうしようかとおもた
ぶっちゃけめちゃくちゃ怖かったわwww
無精子だったらどうしようかとおもた
109:以下、?ちゃんねるからVIPがお送りします:
2021/06/27(日) 20:10:27.685ID:pks1ROyY0.net
生き物みたい
生き物みたい
112:以下、?ちゃんねるからVIPがお送りします:
2021/06/27(日) 20:10:46.278ID:tt8pkqbe0.net
注文した

注文した

148:以下、?ちゃんねるからVIPがお送りします:
2021/06/27(日) 20:17:33.870ID:960m6Av+0.net
>>112
マジじゃねぇーかwwwwww
>>112
マジじゃねぇーかwwwwww
114:以下、?ちゃんねるからVIPがお送りします:
2021/06/27(日) 20:11:03.986ID:Zo8x7sN50.net
てか部屋が精子くせぇわww
こんなに精子弄り倒したの人生で始めてだ
てか部屋が精子くせぇわww
こんなに精子弄り倒したの人生で始めてだ
115:以下、?ちゃんねるからVIPがお送りします:
2021/06/27(日) 20:11:21.212ID:JpAqowdM0.net
誰もつっこんでないから言おうか迷ったけど
かなりの早漏だよね
誰もつっこんでないから言おうか迷ったけど
かなりの早漏だよね
119:以下、?ちゃんねるからVIPがお送りします:
2021/06/27(日) 20:12:19.221ID:Zo8x7sN50.net
>>115
出してからスレ建てたんや
出したあと10分待って液体化させないとダメらしいから
>>115
出してからスレ建てたんや
出したあと10分待って液体化させないとダメらしいから
123:以下、?ちゃんねるからVIPがお送りします:
2021/06/27(日) 20:12:54.951ID:yNaF+OwQ0.net
>>119
有能かよ
>>119
有能かよ
134:以下、?ちゃんねるからVIPがお送りします:
2021/06/27(日) 20:14:53.182ID:JpAqowdM0.net
>>119
うわ抜いた手でスレ立てんな
ちゃんと洗えよ なるほどな
>>119
うわ抜いた手でスレ立てんな
ちゃんと洗えよ なるほどな
127:以下、?ちゃんねるからVIPがお送りします:
2021/06/27(日) 20:13:41.107ID:viTVyJ240.net
俺も買うわ
みんなに俺の息子を見てもらいたい
俺も買うわ
みんなに俺の息子を見てもらいたい
131:以下、?ちゃんねるからVIPがお送りします:
2021/06/27(日) 20:14:28.561ID:Zo8x7sN50.net
>>127
是非その時はスレ建ててくれよ
どっちが精子の量多いか勝負しようぜ
>>127
是非その時はスレ建ててくれよ
どっちが精子の量多いか勝負しようぜ
128:以下、?ちゃんねるからVIPがお送りします:
2021/06/27(日) 20:13:53.635ID:Zo8x7sN50.net
てかこのキットの処理がめんどくせえwww
てかこのキットの処理がめんどくせえwww
135:以下、?ちゃんねるからVIPがお送りします:
2021/06/27(日) 20:14:58.402ID:CO/RDnik0.net

俺もやったぞ

俺もやったぞ
137:以下、?ちゃんねるからVIPがお送りします:
2021/06/27(日) 20:15:28.203ID:6det24Qm0.net
>>135
すげえくっきり
>>135
すげえくっきり
139:以下、?ちゃんねるからVIPがお送りします:
2021/06/27(日) 20:16:03.769ID:YnjzJXZL0.net
>>135
強そう
>>135
強そう
143:以下、?ちゃんねるからVIPがお送りします:
2021/06/27(日) 20:16:58.719ID:LKi7LYiS.net
>>135
競争倍率たかいな
>>135
競争倍率たかいな
146:以下、?ちゃんねるからVIPがお送りします:
2021/06/27(日) 20:17:28.014ID:6yncBUYt0.net
>>135
雄としての格が違う
>>135
雄としての格が違う
149:以下、?ちゃんねるからVIPがお送りします:
2021/06/27(日) 20:17:35.302ID:Zo8x7sN50.net
>>135
強そうすぎワロタwww
>>135
強そうすぎワロタwww
144:以下、?ちゃんねるからVIPがお送りします:
2021/06/27(日) 20:17:21.552ID:aHlUIDar0.net
俺らってこんな感じだったんだな
俺らってこんな感じだったんだな
147:以下、?ちゃんねるからVIPがお送りします:
2021/06/27(日) 20:17:31.049ID:btIemEGpH.net
あらかじめGIF用意してるのがめちゃくちゃ仕事できそう
あらかじめGIF用意してるのがめちゃくちゃ仕事できそう
150:以下、?ちゃんねるからVIPがお送りします:
2021/06/27(日) 20:17:51.501ID:vPNLIc4W0.net
もうティッシュに射精できないじゃんこんなの見せられたら
もうティッシュに射精できないじゃんこんなの見せられたら
152:以下、?ちゃんねるからVIPがお送りします:
2021/06/27(日) 20:18:16.354ID:Zo8x7sN50.net
>>150
生きようと必死なんだもんなwww
>>150
生きようと必死なんだもんなwww
155:以下、?ちゃんねるからVIPがお送りします:
2021/06/27(日) 20:18:52.195ID:S7RNDeqm0.net
>>150
飲めばいいじゃん
>>150
飲めばいいじゃん
157:以下、?ちゃんねるからVIPがお送りします:
2021/06/27(日) 20:19:55.529ID:vPNLIc4W0.net
>>155
体内に取り込めばまた出てくるのかな
>>155
体内に取り込めばまた出てくるのかな
159:以下、?ちゃんねるからVIPがお送りします:
2021/06/27(日) 20:20:20.849ID:wrPtM9Ec0.net
>>156
活きが良い
>>156
活きが良い
163:以下、?ちゃんねるからVIPがお送りします:
2021/06/27(日) 20:21:00.399ID:4LxKimI60.net
>>156
くっそ蠢いててワロタwwwwww
>>156
くっそ蠢いててワロタwwwwww
281:以下、?ちゃんねるからVIPがお送りします:
2021/06/27(日) 21:48:22.534ID:heiu8iFi0.net
>>156
デカい(画像サイズ)
>>156
デカい(画像サイズ)
158:以下、?ちゃんねるからVIPがお送りします:
2021/06/27(日) 20:20:13.647ID:Zo8x7sN50.net
>>156
一匹一匹でかくねぇか?
>>156
一匹一匹でかくねぇか?
161:以下、?ちゃんねるからVIPがお送りします:
2021/06/27(日) 20:20:34.396ID:B2C5sLTW0.net
自分の身体から出たものがこんな動いてんの不思議だな
自分の身体から出たものがこんな動いてんの不思議だな
165:以下、?ちゃんねるからVIPがお送りします:
2021/06/27(日) 20:22:22.307ID:Zo8x7sN50.net
このスレ内だと俺の精子が一番弱そうじゃねぇか
このスレ内だと俺の精子が一番弱そうじゃねぇか
170:以下、?ちゃんねるからVIPがお送りします:
2021/06/27(日) 20:23:28.589ID:6yncBUYt0.net
>>165
NTR漫画の主人公として頑張ってくれたまへ
>>165
NTR漫画の主人公として頑張ってくれたまへ
167:以下、?ちゃんねるからVIPがお送りします:
2021/06/27(日) 20:23:00.688ID:LKi7LYiS.net
>>165
おかず変えて再チャレンジしろよ
>>165
おかず変えて再チャレンジしろよ
181:以下、?ちゃんねるからVIPがお送りします:
2021/06/27(日) 20:26:48.477ID:Zo8x7sN50.net
>>167
興奮度合いで濃さって変わるもんなのか?
>>167
興奮度合いで濃さって変わるもんなのか?
182:以下、?ちゃんねるからVIPがお送りします:
2021/06/27(日) 20:27:35.468ID:LKi7LYiS.net
>>181
なんか出方みたいな感覚違うくね?
>>181
なんか出方みたいな感覚違うくね?
183:以下、?ちゃんねるからVIPがお送りします:
2021/06/27(日) 20:27:42.415ID:4LxKimI60.net
>>181
玉の裏に袋に包んだ保冷剤当ててやってみ
>>181
玉の裏に袋に包んだ保冷剤当ててやってみ
188:以下、?ちゃんねるからVIPがお送りします:
2021/06/27(日) 20:28:57.372ID:Zo8x7sN50.net
>>183
オナクールとか懐かしすぎるだろ
>>183
オナクールとか懐かしすぎるだろ
168:以下、?ちゃんねるからVIPがお送りします:
2021/06/27(日) 20:23:20.014ID:MvOz67Vv0.net
Amazonのレビュー動画多すぎてわろた
Amazonのレビュー動画多すぎてわろた
179:以下、?ちゃんねるからVIPがお送りします:
2021/06/27(日) 20:25:50.003ID:6EF2B3DC0.net
久々の良スレ
久々の良スレ
187:以下、?ちゃんねるからVIPがお送りします:
2021/06/27(日) 20:28:41.463ID:tmHqvaKN0.net
これ何円でどこで買った?
これ何円でどこで買った?
192:以下、?ちゃんねるからVIPがお送りします:
2021/06/27(日) 20:30:11.651ID:Zo8x7sN50.net
>>187
Amazonで1200円で買えるぞ
>>187
Amazonで1200円で買えるぞ
201:以下、?ちゃんねるからVIPがお送りします:
2021/06/27(日) 20:31:45.096ID:K5g+ygln0.net
40倍の顕微鏡あるから見てみるか
40倍の顕微鏡あるから見てみるか
205:以下、?ちゃんねるからVIPがお送りします:
2021/06/27(日) 20:32:35.950ID:Zo8x7sN50.net
>>201
テンガのやつは550倍だから40で見られないんじゃね?
>>201
テンガのやつは550倍だから40で見られないんじゃね?
210:以下、?ちゃんねるからVIPがお送りします:
2021/06/27(日) 20:34:36.109ID:K5g+ygln0.net
>>205
50倍かと思ったら550倍か
そりゃ無理だな
>>205
50倍かと思ったら550倍か
そりゃ無理だな
208:以下、?ちゃんねるからVIPがお送りします:
2021/06/27(日) 20:33:55.499ID:VjXrVQbpx.net
今北産業
今北産業
211:以下、?ちゃんねるからVIPがお送りします:
2021/06/27(日) 20:34:40.054ID:aQyJFl3Jr.net
>>208
精子
ワラワラで
ワロタ
>>208
精子
ワラワラで
ワロタ
215:以下、?ちゃんねるからVIPがお送りします:
2021/06/27(日) 20:36:17.622ID:yUgDNm9Jr.net
このキット1つで何回検査できるんだろ
このキット1つで何回検査できるんだろ
216:以下、?ちゃんねるからVIPがお送りします:
2021/06/27(日) 20:36:58.039ID:Zo8x7sN50.net
>>215
4回はできるぞ
>>215
4回はできるぞ
217:以下、?ちゃんねるからVIPがお送りします:
2021/06/27(日) 20:38:26.603ID:yUgDNm9Jr.net
>>216
ホントに妊活で必要なら1回でいいのに4回もできるのか
>>216
ホントに妊活で必要なら1回でいいのに4回もできるのか
223:以下、?ちゃんねるからVIPがお送りします:
2021/06/27(日) 20:40:15.622ID:OwHKiSx/0.net
>>217
これパーティグッズやし
>>217
これパーティグッズやし
220:以下、?ちゃんねるからVIPがお送りします:
2021/06/27(日) 20:39:18.798ID:E5CqAUoQ0.net
gifワロタw
gifワロタw
228:以下、?ちゃんねるからVIPがお送りします:
2021/06/27(日) 20:46:04.003ID:fkD7ApUC0.net
お前ら久々に生き生きしてるじゃねぇか
お前ら久々に生き生きしてるじゃねぇか
230:以下、?ちゃんねるからVIPがお送りします:
2021/06/27(日) 20:48:01.292ID:6D3YsvmT0.net
売ってください
売ってください
238:以下、?ちゃんねるからVIPがお送りします:
2021/06/27(日) 20:52:58.002ID:ODazMBqTa.net
真面目に感動した
こんな小さいのが生命の元ってのが
嬉し涙が出てきた
真面目に感動した
こんな小さいのが生命の元ってのが
嬉し涙が出てきた
242:以下、?ちゃんねるからVIPがお送りします:
2021/06/27(日) 20:57:06.255ID:OwHKiSx/0.net
数年前のスレで動かなかったのは見たわ
数年前のスレで動かなかったのは見たわ
270:以下、?ちゃんねるからVIPがお送りします:
2021/06/27(日) 21:43:47.795ID:f76jhg4K0.net
全く動いてるの居なかったけど質問ある?
全く動いてるの居なかったけど質問ある?
286:以下、?ちゃんねるからVIPがお送りします:
2021/06/27(日) 21:52:23.700ID:f76jhg4K0.net

0匹

0匹
308:以下、?ちゃんねるからVIPがお送りします:
2021/06/27(日) 23:01:33.485ID:j/fiRb1mp.net
>>286
中出しし放題じゃん、よかったな
>>286
中出しし放題じゃん、よかったな
309:以下、?ちゃんねるからVIPがお送りします:
2021/06/27(日) 23:01:57.030ID:kLdjYSan0.net
>>286
まぁ…なんだ、元気出せよ
>>286
まぁ…なんだ、元気出せよ
312:以下、?ちゃんねるからVIPがお送りします:
2021/06/27(日) 23:08:38.001ID:GQKphMSf0.net
>>286
羨ましい
>>286
羨ましい
297:以下、?ちゃんねるからVIPがお送りします:
2021/06/27(日) 22:08:57.488ID:neAEyFb80.net
>>286
あ...
>>286
あ...
306:以下、?ちゃんねるからVIPがお送りします:
2021/06/27(日) 22:57:49.549ID:f76jhg4K0.net
>>297
これガチだから笑えん
>>297
これガチだから笑えん
291:以下、?ちゃんねるからVIPがお送りします:
2021/06/27(日) 21:58:03.278ID:CDkxn4H7a.net
このスレ臭いんですが
このスレ臭いんですが
302:以下、?ちゃんねるからVIPがお送りします:
2021/06/27(日) 22:50:38.795ID:BpyrSnLt0.net
母性が目覚めてきた
母性が目覚めてきた
313:以下、?ちゃんねるからVIPがお送りします:
2021/06/27(日) 23:10:25.671ID:hqytPs2y0.net
精子って空気に触れたら死ぬんじゃないの?
精子って空気に触れたら死ぬんじゃないの?
315:以下、?ちゃんねるからVIPがお送りします:
2021/06/27(日) 23:40:12.701ID:eTP8FjdO0.net
>>313
触れた瞬間死ぬと思ってんの?笑
>>313
触れた瞬間死ぬと思ってんの?笑
317:以下、?ちゃんねるからVIPがお送りします:
2021/06/27(日) 23:45:03.410ID:AjmUicji0.net
毎日何回もトイレに流してすまんかった
毎日何回もトイレに流してすまんかった
★おすすめピックアップ
【朗報】田中みな実さん、えちすぎる【超悲報】ワイ氏、ロレックスで門前払いされる
女物の下着集めてるんだが量多すぎてヤバイ
【画像】欧米人が日本の教育現場を見た感想wwwwww
【朗報】上坂すみれさん(上智大卒)、本気でシコらせにくるwww
陽キャ「左とパコりてぇ~w 」陰キャ「右…」
女子アナさん、腸を鍛える腸活トレーニングの取材中にう●こを漏らしてしまう放送事故
【悲報】AVメーカー女子社員さん、全裸でスポーツテストをやらされる これ半分セクハラだろ
Error回避












































1 名無しさん 2025年11月05日 10:34 ID:QafaNava0 ▼このコメントに返信
役に立つ時がくるといいね
2 名無しさん 2025年11月05日 11:57 ID:rvcjG1cc0 ▼このコメントに返信
もうちょい倍率高くして欲しいわ